راهنمای جامع، تخصصی و مرحلهبهمرحله کنترل و درمان عفونتهای حاد دندانی
آبسه دندان یک عفونت فعال و چرکی است که در صورت عدم درمان میتواند به سرعت گسترش یابد. در مواجهه با ورم صورت ناشی از آبسه، مهمترین اصل این است که بدانیم «کنترل فوری» با «درمان قطعی» متفاوت است. درمان واقعی تنها با حذف منبع عفونت انجام میشود.
جهت بهترین روش تنها کافی ست سرچ نمایید: کلینیک دندانپزشکی در نزدیک من
در این مقاله ابتدا به اقدامات فوری و قطعی درمان میپردازیم و سپس ماهیت، علائم و عوارض را بررسی میکنیم.
مرحله اول: کنترل فوری درد و تورم (تا قبل از مراجعه به دندانپزشک)
این اقدامات موقتی هستند و جایگزین درمان تخصصی نمیشوند.
1) کمپرس سرد خارجی
کمپرس سرد روی گونه در ناحیه متورم، هر 15 دقیقه یکبار، باعث انقباض عروق و کاهش التهاب میشود.
گرما روی صورت ممنوع است، زیرا میتواند باعث گسترش عفونت به فضاهای عمقی شود.
2) مصرف داروهای ضدالتهاب و مسکن
داروهایی مانند ایبوپروفن با کاهش التهاب، درد و تورم را کاهش میدهند. در موارد شدید میتوان از ترکیب استامینوفن و ایبوپروفن طبق دوز ایمن استفاده کرد. مصرف خودسرانه داروهای قویتر بدون مشورت پزشک توصیه نمیشود.
3) شستشو با آب نمک ولرم
نصف قاشق چایخوری نمک در یک لیوان آب ولرم، چند بار در روز غرغره شود. این کار به کاهش بار میکروبی سطحی و تسهیل تخلیه کمک میکند.
4) بالا نگه داشتن سر هنگام استراحت
قرار دادن سر در موقعیت بالاتر هنگام خواب باعث کاهش فشار عروقی و درد شبانه میشود.

مرحله دوم: درمان قطعی پزشکی
تنها راه درمان واقعی، حذف منبع عفونت است. این کار توسط دندانپزشک انجام میشود.
1) تخلیه آبسه
اگر چرک تجمع یافته باشد، دندانپزشک با ایجاد برش کوچک در لثه یا از طریق کانال دندان، چرک را تخلیه میکند.
این اقدام فشار داخل بافت را کاهش داده و درد سریعتر کنترل میشود.
2) درمان ریشه (عصبکشی)
اگر دندان قابل نگهداری باشد، پالپ عفونی برداشته شده و کانالهای ریشه ضدعفونی و پر میشوند. این روش منبع اصلی عفونت را حذف میکند و از بازگشت آن جلوگیری میکند.
3) کشیدن دندان
در صورتی که تخریب دندان شدید باشد و امکان ترمیم وجود نداشته باشد، کشیدن دندان بهترین راه جلوگیری از انتشار عفونت است.
4) تجویز آنتیبیوتیک
آنتیبیوتیک زمانی تجویز میشود که:
-
عفونت گسترش یافته باشد
-
ورم صورت قابل توجه باشد
-
تب وجود داشته باشد
-
بیمار سیستم ایمنی ضعیف داشته باشد
نکته مهم: آنتیبیوتیک به تنهایی درمان نیست. بدون تخلیه یا درمان ریشه، عفونت بهطور کامل از بین نمیرود.
مرحله سوم: مدیریت ورم شدید صورت
اگر ورم گسترده باشد، اقدامات زیر ممکن است لازم شود:
-
تزریق آنتیبیوتیک وریدی
-
بستری کوتاهمدت
-
تخلیه جراحی در اتاق عمل در موارد پیشرفته
-
تصویربرداری برای بررسی انتشار عفونت
در موارد نادر، اگر عفونت به فضاهای عمقی گردن برسد، مدیریت راه هوایی اولویت حیاتی پیدا میکند.
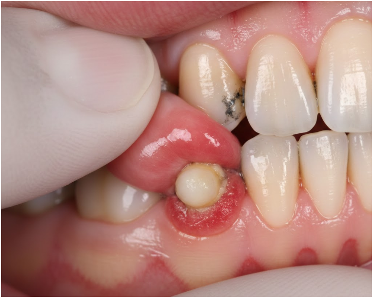
آبسه دندان چیست؟
آبسه دندان تجمع چرک ناشی از عفونت باکتریایی است که در بافتهای اطراف دندان یا در انتهای ریشه ایجاد میشود. این عفونت معمولاً به دلیل پوسیدگی عمیق، ترک دندان، ضربه یا بیماری پیشرفته لثه رخ میدهد.
چرک ترکیبی از باکتریها، سلولهای ایمنی مرده و بقایای بافتی است. افزایش حجم چرک در فضای بسته باعث فشار شدید و درد ضرباندار میشود.
انواع آبسه دندان
1) آبسه پریآپیکال
در انتهای ریشه ایجاد میشود و معمولاً ناشی از پوسیدگی عمیق درماننشده است.
2) آبسه پریودنتال
در بافتهای نگهدارنده دندان ایجاد میشود و اغلب با بیماری لثه مرتبط است.
3) آبسه لثه
سطحیتر است و معمولاً به دلیل گیر کردن جسم خارجی ایجاد میشود.
چرا آبسه باعث ورم صورت میشود؟
گسترش عفونت از محل اولیه به بافتهای نرم اطراف باعث واکنش التهابی شدید میشود.
افزایش نفوذپذیری عروق منجر به تجمع مایع در بافت و تورم قابل مشاهده میشود.
اگر عفونت به فضاهای فاسیال صورت یا گردن راه پیدا کند، تورم شدیدتر و خطرناکتر خواهد شد.
علائم آبسه دندان
-
درد شدید و ضرباندار
-
حساسیت به فشار و جویدن
-
تورم لثه یا صورت
-
خروج چرک
-
بوی بد دهان
-
تب
-
بیحالی
-
بزرگ شدن غدد لنفاوی
در مراحل پیشرفته:
-
مشکل در بلع
-
سختی در باز کردن دهان
-
تغییر صدا
-
تنگی نفس
چه کارهایی خطرناک است؟
-
ترکاندن آبسه با سوزن
-
کمپرس گرم روی صورت
-
مصرف ناقص آنتیبیوتیک
-
نادیده گرفتن تب و ورم شدید
این اقدامات میتوانند باعث انتشار عفونت به فضاهای عمقی شوند.
آیا آبسه دندان خطرناک است؟
در صورت درمان بهموقع، معمولاً بهخوبی کنترل میشود.
اما در صورت بیتوجهی، عفونت میتواند به گردن، سینوسها، چشم یا جریان خون گسترش یابد و منجر به عوارض جدی شود.
چه زمانی فوراً باید به اورژانس رفت؟
-
تب بالا
-
ورم سریع و گسترده
-
مشکل در تنفس
-
مشکل در بلع
-
ضعف شدید
این علائم میتوانند نشاندهنده انتشار عفونت به فضاهای حیاتی باشند.
آیا آبسه خودبهخود خوب میشود؟
خیر.
کاهش درد به معنای درمان نیست. حتی اگر عصب بمیرد و درد کم شود، عفونت همچنان فعال است و میتواند پیشرفت کند.

کنترل فوری درد و التهاب (قبل از مراجعه به دندانپزشک)
| نوع درمان | هدف | روش انجام / دوز مصرف | فاصله مصرف | مدت مجاز | هشدارها | توضیحات تخصصی |
|---|---|---|---|---|---|---|
| کمپرس سرد خارجی | کاهش تورم | کیسه یخ داخل پارچه روی گونه | هر 15 دقیقه یکبار | 24 تا 48 ساعت اول | روی پوست مستقیم قرار نگیرد | باعث انقباض عروق و کاهش التهاب میشود |
| ایبوپروفن | کاهش درد و التهاب | 400–600 میلیگرم خوراکی | هر 6–8 ساعت | حداکثر 3 روز بدون نسخه | زخم معده، نارسایی کلیه، بارداری سهماهه سوم | انتخاب اول در درد التهابی دندانی |
| استامینوفن | کاهش درد | 500–1000 میلیگرم | هر 6 ساعت | حداکثر 4 گرم در روز | بیماری کبدی | میتوان با ایبوپروفن ترکیب کرد |
| ترکیب ایبوپروفن + استامینوفن | کنترل درد شدید | 400 ایبوپروفن + 500 استامینوفن | هر 6 ساعت | کوتاهمدت | احتیاط در بیماران زمینهای | اثربخشی بیشتر از مصرف تکی |
| آب نمک ولرم | کاهش بار میکروبی سطحی | نصف قاشق چایخوری در یک لیوان آب | 3–5 بار در روز | تا زمان مراجعه | بلعیده نشود | کمک به تخلیه ترشحات سطحی |
آنتیبیوتیکهای رایج در آبسه دندان
نکته مهم: آنتیبیوتیک جایگزین تخلیه آبسه یا درمان ریشه نیست.
| نام دارو | دوز بزرگسالان | فاصله مصرف | مدت درمان | موارد استفاده | موارد منع مصرف | نکات تخصصی |
|---|---|---|---|---|---|---|
| آموکسیسیلین | 500 میلیگرم | هر 8 ساعت | 5–7 روز | خط اول در عفونت خفیف تا متوسط | حساسیت به پنیسیلین | در صورت عدم پاسخ طی 48 ساعت باید ارزیابی مجدد شود |
| آموکسیکلاو (کوآموکسیکلاو) | 625 میلیگرم | هر 8 ساعت | 5–7 روز | عفونت شدیدتر | حساسیت به پنیسیلین | پوشش باکتریایی وسیعتر |
| مترونیدازول | 400–500 میلیگرم | هر 8 ساعت | 5–7 روز | همراه با آموکسیسیلین در عفونت شدید | مصرف الکل ممنوع | علیه باکتریهای بیهوازی مؤثر |
| کلیندامایسین | 300 میلیگرم | هر 6 ساعت | 5–7 روز | حساسیت به پنیسیلین | بیماری روده | خطر کولیت وابسته به آنتیبیوتیک |
| سفالکسین | 500 میلیگرم | هر 6 ساعت | 5–7 روز | جایگزین در برخی موارد | آلرژی شدید به سفالوسپورین | طیف متوسط |
درمانهای قطعی دندانپزشکی
| نوع درمان | چه زمانی انجام میشود | نحوه انجام | مزایا | معایب | مدت بهبود |
|---|---|---|---|---|---|
| تخلیه آبسه | وجود چرک واضح | برش کوچک در لثه یا از طریق کانال | کاهش سریع فشار و درد | نیاز به پیگیری | درد طی 24–48 ساعت کاهش مییابد |
| درمان ریشه (عصبکشی) | دندان قابل نگهداری باشد | تخلیه پالپ عفونی و پر کردن کانال | حفظ دندان | نیاز به ترمیم نهایی | 3–7 روز کاهش التهاب |
| کشیدن دندان | دندان غیرقابل ترمیم | خارج کردن کامل دندان | حذف کامل منبع عفونت | از دست رفتن دندان | ورم طی 3–5 روز کاهش مییابد |
| تخلیه جراحی پیشرفته | گسترش به فضاهای عمقی | جراحی در اتاق عمل | جلوگیری از عوارض خطرناک | نیاز به بستری | بستگی به شدت عفونت |
موارد اورژانسی
| علامت | اقدام فوری |
|---|---|
| تب بالای 38.5 درجه | مراجعه فوری به پزشک |
| ورم سریع و منتشر گردن | اورژانس |
| مشکل در تنفس | تماس فوری با اورژانس |
| سختی در بلع | ارزیابی بیمارستانی |
| بیحالی شدید | بررسی سپسیس |
مدت زمان اثرگذاری درمانها
| اقدام درمانی | شروع کاهش درد | کاهش ورم | بهبود کامل |
|---|---|---|---|
| تخلیه آبسه | 24 ساعت | 2–3 روز | 7–10 روز |
| آنتیبیوتیک | 24–48 ساعت | 3–5 روز | 7–14 روز |
| عصبکشی | 24 ساعت | 2–4 روز | حدود 1 هفته |
کارهایی که ممنوع است
| اقدام اشتباه | چرا خطرناک است |
|---|---|
| ترکاندن آبسه با سوزن | انتشار عفونت به عمق بافت |
| کمپرس گرم روی گونه | تسریع گسترش عفونت |
| قطع زودهنگام آنتیبیوتیک | بازگشت شدیدتر عفونت |
| مصرف خودسرانه دوز بالا | آسیب کبد و کلیه |
منبع: کلینیک دندانپزشکی عرشیان
